Amalgamsanierung

Der Verzicht auf Amalgam

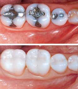
Viele Jahrzehnte lang, galt Amalgam als bewährtes Füllmaterial bei Zahnschäden. Seine Eigenschaften erschienen ideal. Es war besonders widerstandsfähig, bruchfest und gleichzeitig kostengünstig. Diese Annahme hat sich in den letzten Jahren geändert. Amalgam weist einen hohen Anteil an Quecksilber auf und wirkt damit toxisch auf den menschlichen Körper. Quecksilber ist ein Schwermetall, wie beispielsweise Kadmium, Blei, Nickel oder Uran. Diese Stoffgruppe gilt als gesundheitsschädlich. Aus diesem Grund wird in unserer Zahnarztpraxis seit Jahren kein Amalgam mehr verwendet.

Amalgamsanierung aus Metall

Alternative Materialien

Für die gesetzlichen Krankenkassen ist die Amalgamfüllung aus Kostengründen immer noch eine geeignete Versorgung für Zahnfüllungen. Aus unserer medizinischen Sicht ist dies aber falsch und Amalgam sollte nicht mehr angewendet werden, da es, wie beschrieben, hohe Mengen an Quecksilber enthält. Wir stellen Ihnen deshalb gern in einem ausführlichen Beratungsgespräch verschiedene Alternativen vor, die für eine ästhetisch ansprechende Füllungsversorgung gesundheitlich absolut unbedenklich sind.

Hier können Sie sich schon einmal einen ersten Überblick über Alternativen verschaffen:

Zahnfarbene Füllungen
CEREC®
Keramikinlays
Veneers
Vollkeramischer Zahnersatz